頻繁に遭遇する猫の疾患には一定の傾向があります。器官系ごとに疾患をまとめたとき、猫の場合、消化器疾患が一番多く、次に泌尿器疾患、皮膚疾患という順に、その遭遇頻度には差があります。また、それぞれの器官系疾患の中で遭遇する頻度に注目したとき、猫の消化器疾患の中では、下痢・嘔吐・血便(胃腸炎・膵炎)が多く、続いて異食・誤飲、便秘となります。
猫の日常診療においては、このような猫の疾患の発生頻度以外に、患者情報(品種、年齢、性別など)、稟告、現病歴・既往歴、身体検査などの様々な情報から鑑別診断リストを作成し、目的をもって各種検査を行い、確定診断(時に仮診断)後に、治療法を選択していきます。
近年、動物の生活環境の向上や、動物医療機器ならびに診断技術の進歩により、猫の寿命は著しく延び、高齢猫ならではの疾患も多くなりました。愛猫に対する日常管理、調子の悪さに早く気づく観察力など、猫の診療において、これまで以上にご家族の協力が不可欠となってきています。
1. 消化器疾患
寄生虫性腸炎
消化管内寄生原虫類にはイソスポラ、ジアルジア、トリコモナスなどがあります。幼齢猫での感染率が高く、無徴候のこともありますが、時折下痢を引き起こし、重度感染時には粘血便となることがあります。

イソスポラ(Isospora felis)のオーシスト

ジアルジア(Giardia duodenalis)のトロフォゾイト

トリコモナス(Tritrichomonas foetus)のトロフォゾイト
2. 泌尿器疾患
慢性腎臓病
尿細管間質性腎炎など様々な腎疾患が原因となって、慢性的に腎臓の障害が進行し、発症します。血液検査異常よりも先に尿の濃縮能低下(低比重尿・多尿)が認められるため、尿量、尿の色や回数、飲水量を観察し、異常があれば検査を行い、早期に治療を開始することで生存期間を延長させることができます。

慢性腎臓病で認められた水のようなほぼ無色透明な尿(低比重尿・多尿)
尿管結石症
尿管閉塞には様々な原因がありますが、最も一般的な原因に尿管結石による内腔の閉鎖があります。尿管の完全閉塞の場合、重度の水腎症を引き起こすため、緊急的な外科的対応が必要となることがあります。

尿管結石により完全閉塞を起こした尿管
多発性嚢胞腎
ペルシャ、ヒマラヤンなどにおいて、遺伝的に多発性嚢胞腎が発生することがあり、腎臓実質内に大小様々な大きさの多数の腎嚢胞が形成され、次第に腎機能が低下していき、最終的に腎不全となります。

腎臓実質内に認められた大小様々な大きさの多数の嚢胞
3. 皮膚疾患
皮膚糸状菌症
猫の皮膚糸状菌症で最も一般的に検出される菌種は、Microsporum canisであり、罹患猫との接触で感染しやすく、主に被毛や毛包が影響を受けるため、脱毛、鱗屑などが認められます。

Microsporum canisに感染した被毛(緑黄色蛍光発色した被毛)
ノミアレルギー性皮膚炎(ノミ刺咬過敏症)
ノミの刺咬の繰り返しにより、ノミの唾液タンパク質に対して感受性を持ち、発症します。

ノミアレルギーによる腰部の皮膚炎と脱毛
4. 眼疾患
角膜黒色壊死症
角膜実質に黒色物が沈着する猫特有の眼疾患で、原因は不明であるが、外傷、慢性的な角膜刺激、猫ヘルペスウイルス1型感染などが関与していると考えられています。黒色沈着物が脱落する時に深い角膜潰瘍や角膜穿孔を起こすことがあります。

角膜表層の硬く光沢のある黒褐色壊死巣
5. 呼吸器疾患
上部気道感染症
猫ヘルペスウイルス1型、猫カリシウイルス、猫クラミジア、ボルデテラ菌、マイコプラズマの上部呼吸器における感染により引き起こされ、特に免疫力の弱い幼猫、ワクチン接種を受けていない猫などが発症しやすく、鼻汁、くしゃみ、発熱、食欲不振、眼脂、結膜炎などが認められます。

上部気道感染症において認められた鼻汁、眼脂、結膜炎
6. 耳疾患
ミミダニ症
皮膚表面や耳道に生息するキュウセンヒゼンダニの一種であるOtodectes cynotisが原因で起こります。強い掻痒感があり、引っかき行動が認められます。

耳垢中のミミヒゼンダニと卵
7. 歯・口腔疾患
歯周病
歯の表面に付着している歯垢中の歯周病関連細菌が原因で、歯の周囲組織が炎症を起こす疾患で、歯肉、歯根膜、セメント質および歯槽骨の歯周組織まで炎症が波及することが多く、歯肉炎と歯周炎を総称して歯周病といいます。

歯垢・歯石の付着を認めた右上顎前臼歯と、歯肉炎を起こした歯肉
8. 循環器疾患
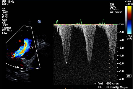
閉塞性肥大型心筋症
心筋肥大があり、僧帽弁前尖や腱索の収縮期前方運動により左室流出路が閉塞し、収縮後期加速(ダガーシェイプ)が認められる場合に閉塞性肥大型心筋症と診断します。

重度の動的左室流出路閉塞を伴う閉塞性肥大型心筋症の大動脈血流速波形
収縮後期加速(ダガーシェイプ)が認められ、最高血流速度は4.96 m/秒
9. 筋骨格疾患
骨折
骨は長軸方向への力に対しては最も強いが、ねじれる力に対しては最も弱いため一番骨折しやすくなります。骨折のパターンを知ることでどういう過程で折れたか、どういう力がかかって折れたかある程度予想することができます。一般的には高エネルギー性外傷による骨折が多くみられます。

脛骨・腓骨骨折が認められたX線側面像
10. 腫瘍疾患
縦隔型リンパ腫
縦隔型リンパ腫は他のリンパ腫に比べ、若齢での発症が多く、猫白血病ウイルス感染に関連しているとされています。以前は縦隔型が猫のリンパ腫の60~70%以上を占めていましたが、猫白血病ウイルス感染猫の減少に伴い、現在は縦隔型の発生は少なくなっています。

2歳齢で縦隔型リンパ腫を発症した猫(猫白血病ウイルス 陽性)の胸部X線側面像
大顆粒リンパ球性リンパ腫
猫ではほとんどが遠位空腸、腸間膜リンパ節あるいは近位回腸に発生します。細胞質に強力な細胞障害性タンパク質があるため、細胞が壊死すると周囲に漏れ出し、組織傷害を強く引き起こします。病変部の壊死が強いと、腸管穿孔から腹膜炎を起こす場合があります。一般的には食欲不振、嘔吐、下痢、重度の削痩などの臨床徴候が認められます。

腸間膜リンパ節群の腫大
乳腺腫瘍
猫の乳腺腫瘍の約90%は癌であり、腫瘍が大きいほど予後は悪くなる傾向があります。不妊手術には、猫の乳腺腫瘍の予防効果があり、生後6カ月前に不妊手術を行うと91%の予防効果が期待できるとの報告があります。乳腺腫瘍の治療には外科手術が必要となりますが、手術侵襲の高い手術であるため、早期不妊手術による予防が重要となります。

乳管上皮由来の乳癌
11. 肝・胆・膵疾患
肝リピドーシス
肝細胞内にトリグリセリドが重度に蓄積して肝内の胆汁うっ滞と肝機能障害を生じる症候群で、食欲不振などで十分な栄養がとれなくなると、体内の脂肪が分解され、肝臓内に脂肪が急激に蓄積し、肝機能が悪くなっていきます。元気消失、黄疸、嘔吐、流涎などが認められます。

黄疸を呈し、黄色くなった眼球結膜
12. 内分泌疾患
甲状腺機能亢進症
甲状腺ホルモンの過剰によって起こる疾患で、高齢の猫において体重減少、多飲多尿、頻脈、高血圧、消化器症状(嘔吐・下痢)、攻撃性の増加、肝酵素の上昇などが認められ、血中サイロキシン(T4)濃度が高値となります。

甲状腺機能亢進症の猫で認められた血中T4の高値(24μg/dl 以上)
13. 血液・免疫疾患
播種性血管内凝固(DIC)
悪性腫瘍、炎症、重度感染症、熱中症など様々な疾患が原因で、血液の凝固が異常になり、小さい血栓を形成し、血小板を過剰消費することで血が止まらなくなる疾患で、全身に出血や紫斑が認められ、多臓器不全になることもあります。

胸部に認められた紫斑
14. 生殖器疾患
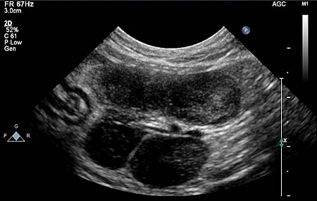
子宮蓄膿症
中齢から高齢の不妊手術をしていない雌猫がかかる疾患で、子宮内に膿がたまることで起こります。外陰部から血様や膿状の排泄物が認められて気づいたり、子宮が拡張し、お腹がふくらむことで気づくこともあります。

内部に大量の膿が貯留し、拡張した子宮
15. 感染症
猫伝染性腹膜炎
猫コロナウイルス感染による致死性感染症で、腹水・胸水貯留による腹部膨満・呼吸困難が特徴的な滲出型、神経症状や眼異常が特徴的な非滲出型があります。発症した場合、致死率が高く、現在、有効な予防法・治療法はありません。

猫伝染性腹膜炎(滲出型)で認められた黄色で粘稠性の高い腹水














